SARCOMA DE RETROPERITÔNEO


APRESENTAÇÃO DO CASO


M.T.C., sexo feminino, 36 anos, branca

Histórico
Atendida em novembro de 1994 devido a quasdro de aumento de volume abdominal intenso, sem outras queixas.
Ao exame apresentava abdome globoso, com massa palpável, semi-fixa, ocupando toda a sua extensão, indolor à palpação.
Exames subsidiários:
Enema opaco = normal
Urografia excretora = exclusão renal à esquerda
Tomografia computadorizada de abdome(imagem 1 e imagem 2)

Primeira cirurgia
Foi submetida a laparotomia exploradora com achado de tumor extenso retroperitoneal ocupando todo o abdome e rechaçando as estruturas para frente, aderido ao colo transverso e rim E. Foi ressecado
completamente em bloco com o rim E e segmento do colo transverso..
O exame anatomo-patológico(AP) da peça revelou o diagnóstico de leiomiossarcoma grau II histológico.

Evolução
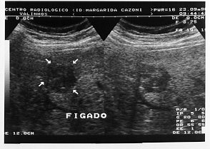
No pós-operatório foi submetida a radioterapia adjuvante no retroperitôneo. Evoluiu bem, sem evidência de recidiva durante o segmento ambulatorial até setembro de 1996, quando o ultrassom abdominal mostrou metástase hepática isolada (imagem 3), confirmada pela Tomografia computadorizada.

Segunda cirurgia
Foi submetida a nova laparotomia com ressecção da metástase de 3,5 x 4 cm, localizada entre os segmentos 5 e 6 hepáticos. O AP confirmou o diagnóstico de leiomiossarcoma metastático com margens livres.
Não houve tratamento adjuvante e a paciente está evoluindo bem, sem evidências de recidivas pela última tomografia computadorizada, de maio/1997.


COORDENAÇÃO | SOBRE A ESPECIALIDADE | BIBLIOTECA ONLINE | RECURSOS INTERNET | EDUCAÇÃO | PESQUISA | EVENTOS
| CASOS CLÍNICOS | COLABORADORES | MAIS... | NOVIDADES | CONTATO

Hospital Virtual
Uma reallização NIB
Copyright (c) 1997 Universidade Estadual de Campinas