INTERRUPÇÃO DE VEIA CAVA INFERIOR





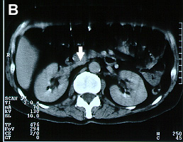
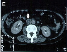
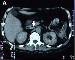
Imagens tomográficas da paciente após a trombose da veia cava inferior. Nota-se a sequência de A para E em que se vê a veia cava normal ao nível das veias renais e abaixo do clipe a veia cava trombosada (aumento do volume com forma circular e halo com captação de contraste)


RETORNAR


COORDENAÇÃO | SOBRE A ESPECIALIDADE | BIBLIOTECA ONLINE | RECURSOS INTERNET | EDUCAÇÃO | PESQUISA | EVENTOS
| CASOS CLÍNICOS | COLABORADORES | MAIS... | NOVIDADES | CONTATO

Hospital Virtual
Uma reallização NIB
Copyright (c) 1997 Universidade Estadual de Campinas